BONDING
Bonding jest zabiegiem z zakresu stomatologii estetycznej, mającym na celu przede wszystkim poprawę kształtu i wyglądu zębów przy zastosowaniu materiałów i technik wywodzących się z stomatologii zachowawczej.
Bonding to nieinwazyjna metoda odbudowy zębów. Polega na pokryciu zęba cienką warstwą kompozytu. Jest to skuteczny sposób na przywrócenie ładnego uśmiechu. Pozwala nie tylko na szybką odbudowę zębów, ale także na pozbycie się nieestetycznych przebarwień.
Zadowalająca różnica w wyglądzie uzębienia przed i po bondingu dostrzegalna jest natychmiast. Jest to rozwiązanie gwarantujące piękny wygląd zębów już w trakcie jednej wizyty stomatologicznej.
Lekarze stomatolodzy:
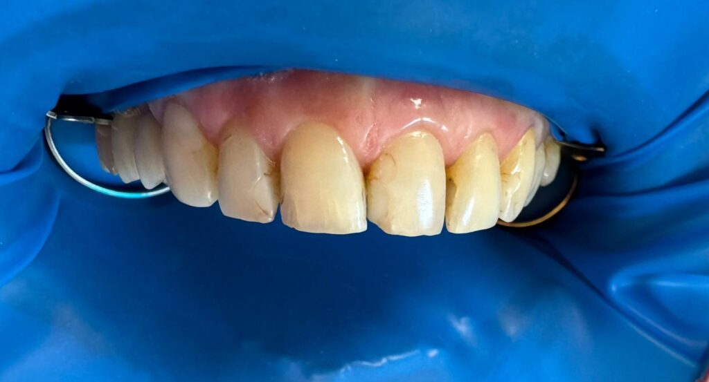
1. PACJENT PRZED

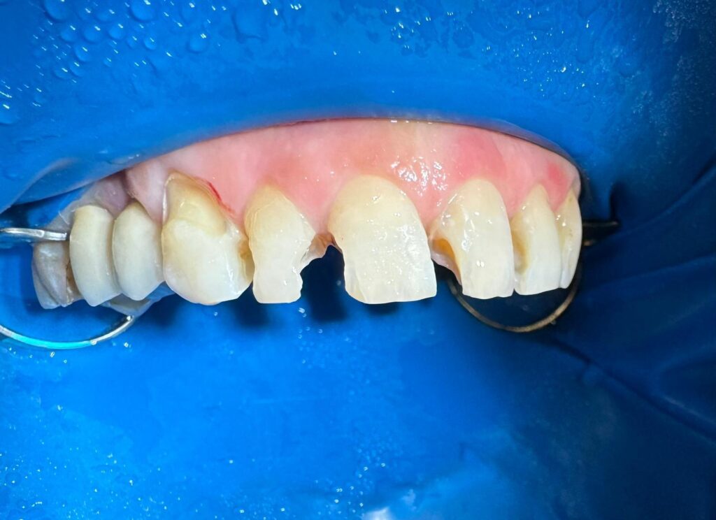
PO


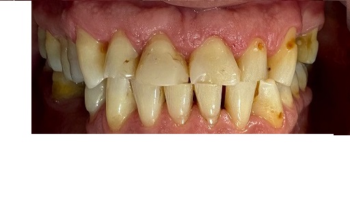
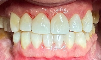
2. PACJENT PRZED ORAZ PO

3. PACJENT PRZED ORAZ PO

4. PACJENT PRZED ORAZ PO

5. ETAPY BONDINGU




6. PACJENT PRZED I PO

